Small Animal Dentistry Wet Labs
at Guelph Veterinary Specialty Hospital
We have been honored to receive extremely positive feedback from many practitioners who have taken our wet lab program that we started at the Ontario Veterinary College back in 1999.
“From the standpoint of professional satisfaction, patient care and profit, your CE is the best investment I have ever made. Thanks.”
— Southern Ontario Small Animal Practitioner
We offer a small group of four practitioners individual attention in a full day wet lab program where procedures are done using only ethically obtained dog and cat cadavers. We cover oral radiographic techniques and interpretation using a computed radiography phosphor plate system. We also cover current techniques in local anesthesia and surgical extractions.
Wet Lab Training Gallery

Placing a size 2 phosphor plate in a laser scanner for acquiring an oral radiographic digital image

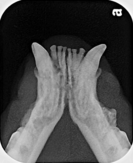
Example of a size 2 oral radiograph for the rostral mandible in a feline cadaver showing tooth resorption for the mandibular canines and third premolars
Placing right inferior alveolar local nerve block in a canine cadaver using dye

Dissecting open the right inferior alveolar local nerve block in a canine cadaver

Sectioning the distal crown-root segment from the mesial segments for 208 in a canine cadaver

Contouring the crown amputation for 407 flush with the crestal bone in a feline cadaver
What's Included in Our Wet Lab Program
- Full day hands-on training with small group of 4 practitioners
- Updated USB key “Small Animal Dentistry: Fifty Key Questions”
- Lunch provided at the hospital
- Certificate for 6 hours of Continuing Education
- Oral radiographic techniques and interpretation
- Current techniques in local anesthesia
- Surgical extraction techniques
Please e-mail us at info@animaldentalcare.com for the current pricing for our wet labs.
Join Our Wet Lab Waiting List
Please e-mail us at info@animaldentalcare.com to let us know if you are interested in signing up for a wet lab to go on our waiting list.
We will get back to you with the new dates available when they are scheduled.
IF YOU ARE INTERESTED IN SIGNING UP FOR A WET LAB, WE HIGHLY RECOMMEND THE VERY BEST APP FOR DENTAL CHARTING.
WE USE IT FOR ALL OF OUR PATIENTS AND IT WILL RAISE THE LEVEL OF DENTISTRY IN YOUR PRACTICE TO COMPLEMENT THE WET LAB.
IT IS NOW AVAILABLE FOR YOUR PRACTICE HERE.